近日,一名43岁的高龄二胎孕妇因支气管扩张突发大咯血,两条生命陷入危险。在北京大学深圳医院(以下简称“北大深圳医院”)胸外科、急诊科、产科、ICU、麻醉科、手术室等多学科团队精准配合、高效协作下,历经3小时手术,最终母婴转危为安。
高龄孕妇咳嗽多年,孕25周突发呕血
今年初,43岁的林棱(化名)意外怀上了二胎。虽然是高龄怀孕,但整个孕早期,她没有明显孕反,甚至觉得“和没怀孕时差不多”。
直到8月18日傍晚,林棱胸口突然涌上一阵窒息般的闷堵,她下意识冲向洗手间,“扑哧”一口鲜红的血,直直喷在米白色瓷砖上,还带有暗紫色血块。
“我老公从客厅赶来,看着洗手池的血,人都吓傻了。”回忆起那个傍晚,林棱仍心有余悸,“我不敢低头,怕血块堵在喉咙里。”这不是她第一次咳血,却是最恐怖的一次。
17年前,25岁的林棱在一次普通感冒过后,咳嗽总好不了,去医院检查后被确诊为支气管扩张。这是一种由肺部感染或炎症导致支气管结构破坏、反复出现咳嗽、咳痰甚至咯血的慢性疾病。起初症状轻微,她没太在意。
2020年一次重感冒袭来,第一口血突然咳出,“当时量不多,像痰一样,七八口就停了”。她慌慌张张去了医院,医生看着检查结果皱着眉,“不排除肺癌或肺结核,得进一步检查。”
后来在专科医院做了痰培养,她拿到明确诊断——非结核分支杆菌感染。接下来,她遵医嘱服药,咳血症状有所缓解。可停药后,麻烦又找上门,每年总会复发两三次,每次就几口血。医生曾建议她做开胸手术,切除病变的肺叶。
一想到要在胸口划十几公分的口子,术后要躺一个月,她觉得偶尔咳血比手术安全。殊不知,这颗炸弹,会在怀孕后被悄悄点燃。

孕妇咯血超 800ml,辗转多家医院直送ICU
“这次不是一点点渗血,是喷射状的,一口接一口呕。”看着妻子脸色越来越苍白,丈夫立即开车赶到离家最近的几家医院。医生们看到林棱的情况,估算咯血总量已超800ml。
“太危险了,我们处理不了,得转上级医院”。按照医院分级处理原则,林棱被救护车紧急转往北大深圳医院。
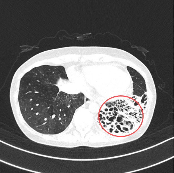
当她被推进北大深圳医院急诊大厅时,急诊科立即启动急危重症孕产妇绿色通道,值班急诊医生快速评估,患者的血压已接近休克阈值,心率100次/分,血氧饱和度95%,CT显示左下肺、左上肺舌段、右中肺支气管扩张。
“直接送 ICU!”急诊团队当机立断。随后,在ICU团队紧急抢救后,林棱生命体征稳定了下来。
尽管林棱咯血的症状得到缓解,但随时有可能再次大咯血,可能因窒息或失血性休克,危及生命。
北京大学深圳医院胸外科主任刘继先接到会诊电话后立即赶到ICU,第一时间组织急诊科、产科、麻醉科、ICU、输血科进行多学科讨论。
“支气管扩张大咯血的传统治疗是药物止血或支气管动脉栓塞,但患者病灶范围广、出血速度快,栓塞可能无法完全覆盖;而手术切除病变肺叶是最彻底的止血方式,但孕 25 周手术,麻醉和术后用药风险都高,得制定最稳妥的方案。”根据孕妇的病情,多学科团队讨论了两种治疗方案。
对于一名怀孕25周的孕妇来说,手术不是一件容易的事。会诊现场,多学科医生们也反复讨论了手术风险,一方面孕妇持续咯血会导致母体缺氧、凝血功能障碍,威胁胎儿安全;另一方面手术的话,麻醉、手术创伤、术后用药都可能影响胎儿。
如何才能最大程度降低手术的风险呢?北京大学深圳医院麻醉科主任罗涛提出了降低风险的麻醉方式,“可以用低潮气量加高频通气,精准控制麻醉深度,避免子宫压迫血管。”
北京大学深圳医院产科主任马开东也分析道,“我们有成熟的孕产妇麻醉团队和围手术期管理经验,全程监测胎心,输血科备好血,必须抓住黄金救治期——现在手术,这是患者唯一的生机。”
“看到那么多医生围着我,在想方设法降低手术风险,我反而不那么怕了。”林棱说。要知道,一开始,手术方案就遭到了她的拒绝,“我想保守治疗,等孩子生下来再做手术”。
但马开东的一句话也让她彻底清醒,“你要知道,要是大人不在了,孩子根本没法保住。现在咯血控制不住,每多等一分钟,你和孩子都多一分危险。”
3小时手术,多学科团队协作化解危机
8月25日清晨,林棱被推进手术室。无影灯下,一场缜密的“生命接力”正式开始。

麻醉医师先为她实施全麻,采用特殊的体位避免子宫压迫下腔静脉,“全程盯着血氧饱和度,既要让她呼吸平稳,又不能影响胎儿供氧”。
产科医生守在旁边,用床旁B超实时监测胎心,“听到胎心一直维持在正常区间,悬着的心才放下一点”。
胸外科团队沿右侧第5肋间开了一个七八公分的小口,胸腔镜探入后,快速吸净胸腔积血,刘继先主任精准找到出血点,“左下肺血管畸形得厉害,还有几个溃疡灶在渗血,必须尽快切除病变肺叶。”
手术过程中,输血科开通紧急用血通道,保障术中用血;ICU医护提前调试好设备,随时准备接收术后患者。
“整个手术用了3小时11分钟,切除左下肺叶时,我们尽量缩小创伤,”刘继先说。最让人欣慰的是,胎儿全程平稳,没有出现宫缩或胎心异常。
当林棱从麻醉中醒来,第一时间听到的就是,“手术很成功,孩子很好。”
术后,她被转入ICU加强监护。术后第二天,她从ICU转回胸外科普通病房,已经能下床轻微活动。
医护人员不仅关注她的生命体征、切口愈合和肺功能恢复,更通过床旁B超每日监测胎儿发育情况。“看到宝宝在肚子里动,我就知道一切值得。”林棱说。
9月初,她的伤口基本愈合,能自己洗头洗澡,“医生说恢复得比预期好,接下来可以安心安胎,等足月生产”。
回顾这场生死经历,林棱最感激的是北大深圳医院的多学科团队。在出院前,她趴在病床上,一笔一划写了封感谢信,“本次手术难度极大,我们心理压力也很大… …是您们用专业的技术、严谨的态度和贴心的关怀,让我在病痛中感受到温暖,也让我对康复充满信心。”

从深夜急诊到生命平稳,从多学科协作到术后守护,这场救治不仅是一次医疗技术的突破,更是北大深圳医院“以患者为中心”服务理念的生动实践。
医生提醒:孕期出现反复咳嗽要尽早就诊
这场“拆弹”救援,不仅守护了一个家庭的希望,更给所有高危孕妇敲响了警钟:孕期健康不是顺其自然,专业的风险评估和及时的医疗干预,才是母婴平安的最大保障。
刘继先主任提醒,支气管扩张患者妊娠期因血容量增加、免疫力下降,咯血风险显著升高,约15%-20%的严重咯血可能发生在孕中晚期。
孕期若出现反复咳嗽、咳脓痰或痰中带血,务必尽早就诊,通过高分辨CT明确诊断并制定个体化管理方案。
对于反复大咯血、病变局限的患者,可在病情稳定期评估手术可行性,避免急性发作时危及母婴安全。
编辑 白珊珊 审读 吴剑林 二审 王雯 三审 潘未末













