家有小闺女的爸妈注意了——
如果你家娃总说屁屁不舒服,内裤上还时不时有黄色分泌物,别单纯以为孩子是“上火”或“发炎”了,说不定是身体里多了点什么东西。
1
幼女私处藏异物
“放大镜”无损取出
前不久,深圳市妇幼保健院收治了一位4岁的小女孩玫玫(化名),困扰她和家人一年多的问题,说出来可能让很多家长意想不到:
玫玫的内裤上总是有黄绿色水样的分泌物,时多时少,持续了一年多!
这一年的时间里,玫玫妈妈带她多次去医院就诊。医生检查了阴道分泌物,做了分泌物检查、彩超都未见异常,虽然用药后有时会好一点,但没过多久,那恼人的黄色分泌物又会出现,就像打不走的“小强”。
玫玫妈妈心急如焚,担心孩子是不是有什么严重的妇科问题。带着满心疑惑和焦虑,她带着玫玫来到了深圳市妇幼保健院小儿青少年妇科门诊。
除了分泌物异常,孩子没有喊过肚子痛,没有阴道出血,也没有其他不舒服。结合之前治疗效果不佳、病情反复的特点,经验丰富的医生脑海中立刻浮现出一个在幼女中并不少见、却常常被忽视或难以诊断的可能性:阴道异物!
遗憾的是,再次复查超声后依然没有发现明显异常。
但真相,往往藏在“放大镜”下。
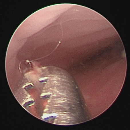
为了明确诊断,医生决定为玫玫进行一项特殊的检查——阴道镜检查。这就像一个高清放大镜,能清晰地看到阴道内部的情况。
检查结果让所有人都吃了一惊:
一缕“棉絮样”的异物,紧紧地粘在阴道壁上!原来这一年多的“炎症”,全是这团小棉花在捣蛋。
医生在阴道镜下用专门的工具(异物钳),小心翼翼将这团顽固的棉絮样异物完整地取了出来,并用碘伏溶液彻底冲洗了阴道。

异物小棉花“本人”

医生正在用异物钳取出棉花
再次用阴道镜观察确认:困扰玫玫一年多的“元凶”被彻底清除了!阴道内变得干干净净了,且对阴道壁及处女膜都未产生损伤。
其实女童阴道异物并非个例,且阴道异物种类繁多,需引起我们的重视。
2
为什么幼女阴道里会有异物?
有哪些危害?
别以为是娃故意捣乱,这个年龄段的小姑娘藏异物,多半是“无心之失”:
●好奇心驱动:这个年龄段的女孩,对自己身体的各个部分都充满好奇。她们可能在玩耍时,无意中或出于好奇,将小物件(如小纸团、小珠子、小玩具零件、棉絮、小石子等)塞入阴道。
●模仿行为:有时可能是在模仿大人使用卫生棉条等行为。
●无意识行为:也可能是在抓挠外阴或玩耍时,不小心让小东西进入了阴道。
这些小物件一旦进去,就像在阴道里安了个“细菌培养皿”,存在各种风险——
❌感染风险:阴道异物进入阴道后,引发感染,导致出现黄色或血性的分泌物,并伴异味。
❌组织损伤:体积大、质硬或者刺激性的异物,可能对阴道壁产生损伤,大面积损伤还可能导致阴道壁粘连。
❌其他风险:阴道异物长期存在,除了导致阴道炎症状反复外,组织会与阴道壁发生粘连,导致取出困难,损伤风险增大;还可能导致阴道壁穿孔,甚至累及周围器官,尿道和直肠等。
3
别等小问题拖成大麻烦
这些信号不要忽视
幼女阴道藏异物,最坑的就是容易被忽视或误诊:
●孩子表述不清:年幼的孩子可能无法准确描述发生了什么,或者因为害怕被责骂而不敢说。
●症状无特异:最常见的症状就是持续或反复出现的阴道分泌物增多,颜色多为黄色、黄绿色或褐色,有时可能有异味。这很容易被家长甚至初诊医生误认为是普通的外阴阴道炎。
●检查手段局限:常规的妇科检查和分泌物化验可能发现炎症迹象,但难以确定异物存在。妇科超声对体积小、质地软的异物(如棉絮、纸团)检出率不高。
●治疗效果“迷惑人”:使用抗生素后,异物引起的局部炎症可能暂时减轻,分泌物减少,家长和医生可能误以为治疗有效,导致异物长期滞留。玫玫的案例就是如此,局部用药或口服抗生素后“好转”掩盖了真正的病因。
那作为父母我们能够做些什么呢?
✅提高警惕:如果发现学龄前(尤其2-6岁)女儿出现反复、持续的阴道分泌物异常(黄色、黄绿、褐色、有异味),且按普通炎症治疗效果不佳或反复发作,务必高度警惕阴道异物的可能性!
✅选择专科就医:及时带孩子到专业的儿童妇科就诊。向医生详细描述症状的持续时间、特点、治疗经过和效果。
✅阴道镜是关键诊断工具:对于高度怀疑异物的情况,阴道镜检查是明确诊断的“金标准”。它能直观、清晰地观察到阴道内部,即使是细小的异物也无所遁形,并且能及时取出异物。家长不必过度担心这项检查对孩子的影响,医生会使用适合儿童的精细器械,操作轻柔,避免损伤。
更重要的是,平时要多留意,减少隐患收拾好家里的小零件(珠子、纽扣、碎布料),给娃穿裤子或洗澡时多观察外阴有没有异常。
更别因为娃说“屁屁不舒服”就责骂她,不然她就算塞了东西也不敢说,只会越拖越糟。
幼女阴道异物真不是“奇葩案例”
临床上见得不少
希望通过这个真实的案例
能引起更多家长的重视
及早就医,明确诊断
让孩子远离不必要的困扰
编辑 高原 审读 张蕾 二审 郑蔚珩 三审 万晖














