智齿也能“跳槽”?

近日,25岁的张女士(化名)因为牙疼来到了深圳市妇幼保健院口腔病防治中心就诊。
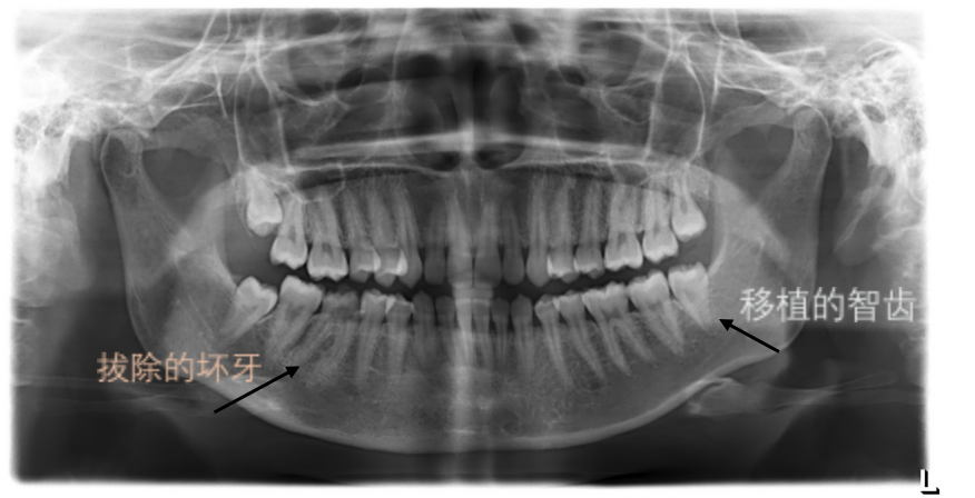
医生检查后发现,她右下第一磨牙龋坏得非常严重,已经到了必须要拔掉的程度。
一想到种牙时要从各种材料中进行选择,有选择困难症的她不禁感到“一个头两个大”!
好在医生告诉她,她嘴里还有一颗需要拔除的智齿!可以把这颗没用的智齿移植到拔牙的位置,变废为宝,这样就能修复患牙了~
“在整形手术中有一种技术叫“肋骨鼻”,顾名思义,就是用自己的肋骨去塑造理想鼻型。其实在口腔领域也有类似的技术——自体牙移植术。”
牙齿缺失后,传统的修复方法主要有三种:活动义齿、固定义齿以及种植牙。
而自体牙移植,是指将患者自己的牙齿从一个位置移植到另一个位置的手术过程,常见于将埋伏、阻生或废用的智齿转移到其他需要拔牙部位或缺牙部位。
与传统方式不同,自体牙移植是使用自己的真牙来修复缺牙。

自体牙移植示意图
那自体牙移植有啥好处呢?
首先,移植牙适应性超好,成活率高,既能让患者恢复咀嚼功能,还不会产生排异反应;
其次呢,自体牙移植术费用低、疗程短,没有异物感,也不会损伤邻牙,还能通过矫正的方式移动。

术前照片

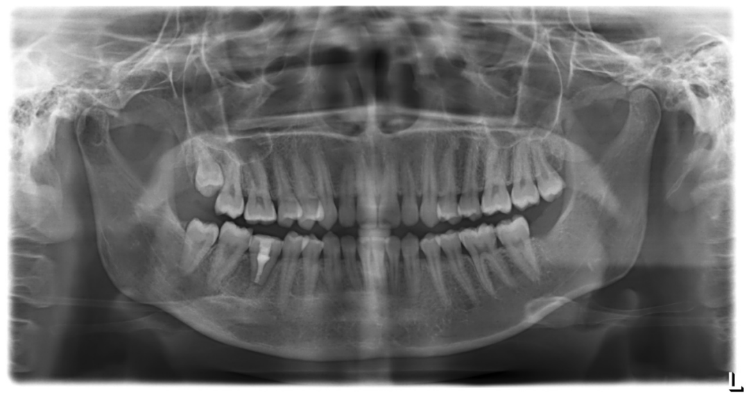
术后照片
术后管理也非常方便,患者不用每天摘戴,也不用预备邻牙,更不用担心金属异物体内存留的问题。
自体牙移植术适用人群广泛,只要患者身体耐受,且口腔内有多余的牙齿,一般都能够接受自体牙移植术。
但需要注意的是,术前医生会对供牙进行精细的评估,只有合格的牙齿才能够被用来移植。

温馨提示
自体牙移植术不仅需要医生具备较高的技术,对手术设备和手术环境也具有较高的无菌操作要求,而且预后因人而异。因此,想要进行自体牙移植术的宝子们一定要选择正规医院的口腔科,经全面检查后再决定能否手术,以免造成不必要的麻烦。
编辑 黄小菊 审读 张蕾 二审 关越 三审 万晖












