48岁的洪女士(化名)最近半年遇到了件烦心事——她的肚子越来越大,还老是觉得胀胀的。
一开始她还以为自己是“中年发福”了,于是开始控制饮食+运动减肥。
没想到肚子不但没变小,反而越来越鼓,最后连呼吸和走路都受影响。
她赶紧去医院检查,结果发现肚子里有个直径超30厘米的巨大肿瘤,几乎塞满整个肚子,还伴有中度贫血!
01
肿瘤“霸占”腹腔
危及健康
▽
洪女士平时经常健身,很少生病,这突如其来的消息对她来说简直是晴天霹雳。
为了搞清楚肿瘤的性质,深圳市妇幼保健院妇科的陈国斌副主任医师迅速安排检查。
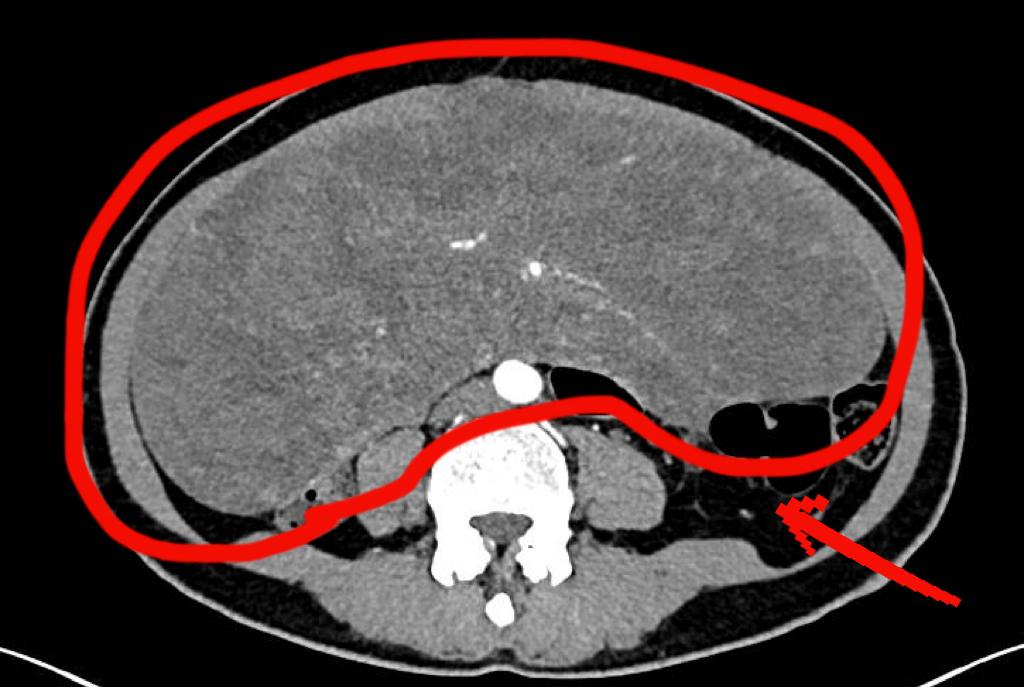
CT显示,洪女士的子宫前有一个巨大的肿块,医生判断可能是由多个肌瘤融合形成的巨大子宫肌瘤。

洪女士的CT检查图像
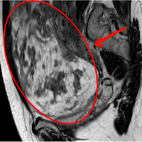
核磁共振进一步确认,这个肿块大小约28×18.58×34.8(厘米3),像冬瓜一样大,边界清晰,上顶横膈膜,下撑骨盆底,没有扩散迹象。


洪女士的核磁共振图像
幸运的是,洪女士的其他检查结果,包括肿瘤标志物等都在正常范围,医生判断这个肿瘤很可能是良性的巨大子宫肌瘤,不是癌症。
这个结果不仅让医生松了口气,也让洪女士放下心来。
02
手术拆“弹”,惊险万分
▽
深圳市妇幼保健院的专家们迅速集结,为洪女士量身定制了最安全的手术——开腹切除子宫。
手术中,医生们发现洪女士的子宫被撑得像怀孕6个月那么大,里面全是密密麻麻的肌瘤,这些肌瘤融合在一起,表面布满粗大的血管,肿瘤压迫下腔静脉,导致此血管严重变形,手术风险大,稍有不慎就可能大出血!
陈医生团队像拆弹专家一样,小心翼翼地分离血管,精准操作,最终成功切除了重达7.25公斤的肿瘤(比足月胎儿还要重!),全程出血不到100ml,堪称奇迹!
术后,洪女士的“大肚子”消失,身体机能恢复正常。她激动地感谢陈医生团队,这场手术不仅帮她卸下了沉重的“包袱”,更让她重获健康。
03
子宫肌瘤
女性的“隐形杀手”
▽
子宫肌瘤(Uterine Fibroids)是女性最常见的良性肿瘤,由子宫平滑肌细胞异常增生形成。
据统计,约70%的女性可能中招,但大多数体积较小,无明显症状。
常见症状有:
👉 月经异常:经量增多、经期延长
👉压迫症状:尿频、便秘(肿瘤压迫膀胱或直肠)
👉腹部膨隆:巨大肌瘤可能被误认为“肥胖”或“怀孕”
👉疼痛:肌瘤扭转或变性时可引起剧烈腹痛
千万别小看它,肌瘤一旦长大,可能压迫器官,甚至危及健康!
04
为什么肌瘤能长这么大
才被发现?
▽
洪女士的肌瘤能长到如此巨大,主要有三个原因:
⭕️ 症状隐匿
早期肌瘤较小时可能没啥感觉,等压迫到器官才被发现;
⭕️误以为是肥胖
腹部逐渐膨隆容易被误认为“发福”,尤其是中年女性;
⭕️忽视体检
很多女性没有定期妇科检查的习惯,导致肿瘤悄悄生长。
⚠️提醒
如果出现不明原因腹部增大、尿频、便秘等症状,一定要及时就医,排除肿瘤可能哟!
05
巨大子宫肌瘤怎么治?
如何预防?
▽
可以通过以下几种方式治疗:
● 手术治疗(主要方式)
①子宫肌瘤切除术:保留子宫,仅切除肌瘤(适合有生育需求者)。
②子宫切除术:适用于肌瘤过大、复发或无生育需求的患者。
●其他治疗方式
①药物治疗(如GnRH激动剂):可暂时缩小肌瘤,但无法根治。
②高强度超声聚焦、消融、介入治疗(如子宫动脉栓塞):适用于不适合手术的患者。
预防和早期发现的关键是:
✅定期妇科检查:B超可早期发现肌瘤。
✅关注身体变化:如月经异常、腹部膨隆、尿频等,及时就医。
✅健康生活方式:减少高雌激素食物(如蜂王浆)的摄入,控制体重。
很多女性把肚子变大归因于“发福”
但事实往往出乎意料
子宫肌瘤虽是良性肿瘤
但若长得巨大
这种良性肿瘤也有可能危及健康
甚至是生命!

2025年4月15—21日是
第31个全国肿瘤防治宣传周
今年的主题是
科学防癌,健康生活

在中国,每天超过一万人罹患癌症
每8秒有1人被确诊为癌症
中国人一生患癌的风险高达25%
很多恶性肿瘤早期没有任何症状
直到出现症状
往往为时已晚
早期发现、科学预防
才能为生命争取更多可能!
编辑 高原 审读 伊诺 二审 郑蔚珩 三审 万晖













