超声科的大厅总是人满为患,医生们总是忙得步履匆匆,但等待检查时间为什么那么久?有的宝妈们需要反复折腾,有的宝妈又能“一次过”。
到底是为什么?
今天,必须给宝妈们解释明白
每天都有宝妈疑惑:别人NT五分钟做完,我怎么这么久?
超声医生:也许,可能,因为您怀的是个“哪吒”……
别误会,这里说的不是要怀3年才能生出来的“哪吒”,而是相对于好学生典范“敖丙”而言,那些有点坏有点可爱又有点调皮还有点费妈的“哪吒们”。
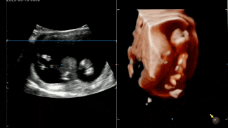
因为,NT检查时对宝宝有很严格的体位要求。
对,你没听错,就是要宝宝们(不是宝妈)躺平!躺平!躺平!不能侧躺、坐着、趴着,也不能低头,更不要伸懒腰……当然最好还不要乱动(超声医生们超爱的标准NT躺)。

标准NT躺
相信我,这绝对是宝宝一生中最早的一次全身“证件照”,比你拍上半身证件照严格多了。
盘点那些有点坏有点可爱
有点调皮还有点费妈的
“哪吒们”
各种状态的宝贝

趴着的

害羞的

侧躺

倒立

举手
有坐着不爱动的


还有扭来扭去不老实的


甚至能在肚子里练“功夫”





出其不意的一拳,动作快的都看不清ta的招式
悠闲自得
吃着手指还翘着二郎腿



在妈妈的肚子里荡啊荡~
最后,给那些在大厅里
耐心等待的宝妈们点个赞!


这里顺便给一些还在备孕或对这方面知识感兴趣的朋友们科普一下:什么是NT?

NT,英文Nuchal Translucency,即颈项透明层(蓝色区域)。NT超声检查是孕早期一项重要的超声筛查项目,主要用于评估胎儿染色体染色体异常(如唐氏综合征)或其他严重结构畸形的风险程度。
❗️记住❗️
NT检查时间有严格规定
孕11周~13周+6天时进行
(即胎儿头臀长45~84mm)
超过此时期
颈项透明层可能逐渐消失
影响结果准确性
宝妈们记得提前预约哦!
编辑 许家宜 审读 张蕾 二审 周梦璇 三审 万晖













