听到CT肺炎这个词
你的第一反应是什么?
“CT不就是个常见的影像学检查吗?”
“做CT还会得肺炎?”
请注意,此CT非彼CT
近日,才2个多月大星宝(化名)小朋友最近因咳嗽40天,先后在外院及深圳市妇幼保健院住院治疗,这可把爸妈急得团团转。
最后医生一查,原来是沙眼衣原体在捣鬼,导致星宝患上了“CT(Chlamydia trachomatis,CT)肺炎”!
沙眼衣原体是什么?
沙眼衣原体(CT)是一种专性细胞内寄生的原核细胞型微生物,它介于病毒和细菌之间,耐冷不耐热,在60℃仅能存活5-10分钟;在-60℃可保持5年。
过去,人们一直以为沙眼衣原体只会导致眼睛的感染,然而随着医学的发展,它还被认为是一种传播力和杀伤力极强的性传播疾病,甚至会对女性的生殖系统造成永久性、不可逆转的伤害,故而也被称为“隐形的生殖克星”!
它与肺炎衣原体和鹦鹉热衣原体共同构成目前已知能引起人类疾病的三种衣原体。其感染部位可以分为:眼睛、尿道生殖道、淋巴系统、呼吸系统。
婴儿是怎么感染上CT的?
这个事儿啊,还真跟妈妈有点关系……
CT是导致人类沙眼和生殖系统感染的主要病原。经由感染CT的母亲产道分娩的婴儿,约50%~70%可感染CT,出生时沙眼衣原体可直接感染鼻咽部,下行至肺引起肺炎,也可感染结膜后经鼻泪管下行到鼻咽部,再到下呼吸道。其中20%~50%可发生结膜炎,10%~20%可发生肺炎。
CT肺炎常见于6个月以内婴儿,通常出生后2-12周发病。所有无热肺炎婴儿的3/4为CT感染所致。
CT肺炎有哪些表现
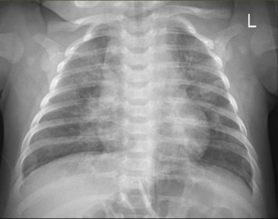
CT肺炎的大部分患儿早期都表现为双眼分泌物增多等结膜炎症状,病初只有轻微呼吸道症状(鼻塞、流涕),后逐渐加重,大多数无发热,表现为反复的短促咳嗽、呼吸急促。胸部X线检查常显示肺部过度充气和弥漫性肺间质浸润,血中嗜酸性粒细胞常增多。
病程迁延,常达数周,如果没有得到适当处理,咳嗽会延续长达2个月。

CT肺炎胸片
早产儿、极低出生体重儿的CT肺炎更严重,甚至是致死性的,需要长期辅以机械通气,易产生慢性肺部疾病。
如何预防CT肺炎?
CT肺炎的患儿一般经药物治疗就能治愈,但若存在混合感染或合并其他并发症者,治疗效果则较差。
所以,预防很重要!尤其是母孕期的产前检查及早期干预。
●母孕期的产前检查
分娩前及时治疗可有效预防产后并发症、胎儿及新生儿感染,为了防止孕妇产后并发症和新生儿感染,应在妊娠后3个月做衣原体感染筛查,以便在分娩前完成治疗。
●产前干预治疗
产前进行治疗是预防新生儿感染的最佳方法。若新生儿已出生,尽早诊断及治疗可有效阻止疾病进展,减少远期并发症的发生。
总之,CT肺炎虽然听起来吓人
但只要我们了解它、预防它
及时治疗它
就能让宝宝远离这个“捣蛋鬼”
编辑 高原 审读 伊诺 二审 张玉洁 三审 万晖













