11月15日,记者从深圳市龙岗区妇幼保健院(简称“龙岗妇幼”)获悉,11月6日早上,在龙岗妇幼从事保洁工作的一名大叔突发心梗,命悬一线,龙岗妇幼所在的医联体医务人员上演生死时速,把大叔从死亡线上拉了回来。

病情危急:2小时持续胸痛无缓解
当天,提前到岗的心电图室医生林波,像往常一样准备着开始一天的工作。7点42分,他发现诊室门口坐着一位面色苍白、表情痛苦的清洁工大叔,汗水打湿了他的工作服。
出于职业敏感,林波主动上前询问情况,得知大叔2小时前开始出现胸闷胸痛症状,大叔当时没在意,以为是劳累引起的,但休息后并没有得到缓解,还伴随有冷汗、心慌、头晕、濒死感等不适。

林波凭经验判断可能是急性心肌缺血症状,随即给大叔做了心电图检查,报告提示为急性心肌梗死。这类致命疾病危险系数高,夺命速度快,患者随时可能发生心脏骤停,此外,超过了6小时的抢救黄金期,心肌细胞受损将不可逆转。
高效联动:半小时内打开生命通道
林波迅速将大叔安置在诊室,同科室医生肖淑珠紧急联系多学科联合救治,五分钟内,医务科、内科、急诊科医护人员携带抢救车和除颤仪到达心电图室,展开综合救援。
一场与死神赛跑的抢救开始了!时间就是心肌、时间就是生命,及时的再灌注治疗是缩小梗死面积、减少并发症的关键。各科医务人员临危不乱,为大叔开通静脉通道,监护生命体征,口服“一包药”(包含抗血小板和调脂药物)稳定动脉粥样硬化斑块。
在向大叔的家人解释病情严重性、推荐最佳诊治方案的同时,医务人员与距离最近的医联体协作单位胸痛中心取得联系,开通快速转诊绿色通道,安排救护车及随车急救人员。从求诊到转运,龙岗妇幼仅用26分钟就完成了“二传手”的重任,8点08分将大叔平安转至龙岗区人民医院。
有惊无险:医联体无缝衔接赢回生机
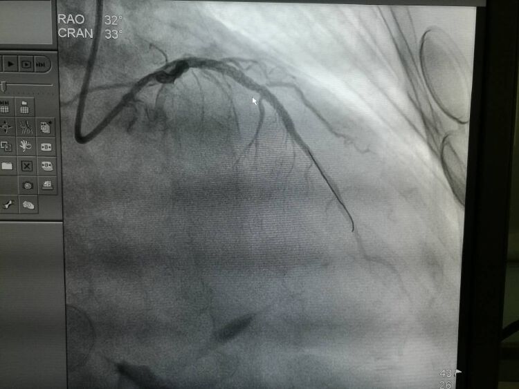
当天上午11点,据接诊医院的胸痛中心反馈,该病人造影发现前降支近断闭塞,植入2枚支架,右冠中远段重度狭窄等待二期手术。经过及时有效的救治,大叔脱离了生命危险,已安全返回CCU。
病人的成功转诊救治,得益于对病情的准确诊断评估,是正在冲刺三甲创建工作的龙岗妇幼日常践行核心管理制度的体现。打赢这场生命争夺战,也是紧密型医联体惠民便民的真实写照。自龙岗中心城区域紧密型医联体成立以来,各协作单位通过微信、专用电话等及时有效沟通,开辟绿色通道,共享优势资源,切实提高了急危重症的救治效率。
秋冬季是心血管疾病的高发季节,有冠心病等危险因素的患者,一旦有发生胸闷胸痛等症状,一定要尽早到医院就诊,第一时间拨打120!
(来源:读创APP)
编辑 姚静霞














