很多人都有误解——拍片(如X光、CT)时让大家摘金属是怕辐射变强。
其实,金属本身不会让辐射升级,但它密度高,会吸收X射线,在X线图像上形成高密度影,影响图像质量。
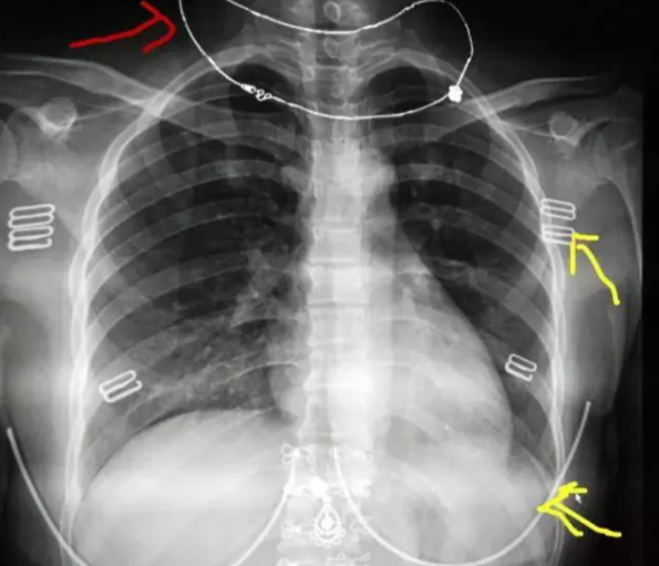
比如戴着项链拍胸部X光,项链的伪影可能刚好遮住肺部的微小病变,从而导致医生误判或漏诊。

图源:网络
那如果体内有金属物
还能不能拍片子呢?
要看类型
●X光、CT检查
大多数体内金属物(如固定骨折的钢板、心脏支架、人工关节等)并不影响检查,虽然可能产生伪影,医生也能选择特殊扫描方式或后处理来减少伪影的影响。
●核磁共振(MR)检查
这就得特别注意了。MR利用磁场工作,铁磁性金属物(如部分心脏起搏器、金属夹、节育环等)可能在磁场中移动,产热。轻则影响图像,重则损伤身体。所以,检查前一定要主动告诉医生自己体内金属物的类型、位置,由医生评估是否适合做MR。
不同检查有“专属要求”
记好这些少跑冤枉路
拍片及CT检查
候诊别扎堆:避免在机房内或门口拥堵,以免不必要的辐射,在候诊区等待屏幕叫号再进入机房即可。
提前做准备:除了去除检查区域的金属饰品,带金属或金属丝线绣花的衣物(比如有金属扣和钢圈的内衣、带拉链的裤子)、膏药(可能含金属)、发卡、眼镜等也需取下。更换好检查专用的病号服,就可以等待检查了~
特殊情况要早说:备孕、怀孕的姐妹要提前告知医生。孕妇一般会避免做X光、CT检查(尤其是腹部)。
做CT时听指挥:CT检查时需保持固定姿势,听从技师指令(如吸气、屏气),确保图像清晰。儿童或躁动患者可能需要镇静,提前做好准备更省心。
腹部检查要空腹:腹部检查患者需空腹4-6小时,可以喝水;要是做膀胱检查,记得憋尿,不然看不清。
增强扫描有禁忌:有碘过敏史、甲状腺功能亢进和严重肾功能不全的患者,禁止使用碘对比剂进行增强扫描。服用二甲双胍的患者,需停药48小时后才能做。做完增强扫描别马上走,观察30分钟,未出现不适再离开~
MR检查
别越“红线”:大家在指定候诊区等待时,千万别越过机房的警示线,尤其禁止非MR检查专用轮椅或平车进入警示线内。
知情同意书要填:检查前会让大家阅读并填写磁共振检查知情同意书,认真看看内容,有问题可以及时问医生。
金属物全清空:等待叫号时做好检查前准备,按要求取下身上的金属物品或饰品,隐形眼镜、活动性假牙也得取出来,更换专用病号服。如有禁忌情况(心脏起搏器、人工心脏金属瓣膜、早孕三个月)不能做MR检查,别抱侥幸心理。体内有金属植入物也需要如实告知医生,咨询医生可否进行检查。
特殊检查有讲究:做颅脑检查避免涂发胶、啫喱,脸上别化妆;腹部检查要空腹4-6小时,妇科检查要避开月经期,金属节育环(除了曼月乐)得提前取出来。
孩子需“套路”:婴幼儿做检查可能需要镇静,为了增加镇静的成功率,可以让孩子前一天晚睡、当天早起,预约下午检查的话,中午别午休,困了自然容易镇静~
增强扫描同样注意:做了增强扫描的患者,同样需观察30分钟,未发现不适才能离开~注意:严重肾功能不全的患者,禁止使用造影剂进行增强扫描。
记好这些注意事项
配合医生操作
既能保证安全
又能让检查结果更准确
下次去检查
你就是最懂“规矩”的患者啦!
编辑 高原 审读 郭建华 二审 张玉洁 三审 万晖














