小时候因为不想上学
我们假装生病
长大后因为不敢体检
我们假装健康
要知道,当代年轻人
最害怕的事之一
就是看自己的体检报告
做好心理准备打开报告单
结果看到俩字
——结节
26岁的小丽(化名)曾被双侧乳房10多个结节困扰了8年,药物和按摩都试了个遍,却毫无起色。一想到传统手术的刀口和疤痕,她心里就发怵……
直到她遇到了海扶刀®聚焦超声消融技术,术后3个月,双乳多发结节明显缩小,小的已消失不见,大的也已消融50%,医生评估后认为还能继续吸收缩小。皮肤完好无损,没有任何疤痕。
如今,小丽重拾自信,开启了新的人生篇章。
1、什么是海扶刀®技术?
海扶刀®是一种无创、非侵入性的高强度聚焦超声消融技术。
它就像“隔山打怪”,通过体外发射超声波,精准聚焦到体内的肿瘤,瞬间产生65-100℃的高温,让肿瘤组织“凝固坏死”,随后被人体自然吸收。
整个过程不需要开刀,没有疤痕,也不破坏病灶以外的正常乳管,完美保留乳房的形态和哺乳功能。
与传统手术对比,海扶刀®技术的优势也非常明显:

✅无创治疗:皮肤无切口,术后无疤痕,乳房外观完整对称,几乎没有出血以及感染并发症发生。
✅高效便捷:单次可消融多个病灶,治疗时间仅需10-30分钟,局麻即可完成。
✅恢复迅速:术后当天即可活动,疼痛轻微,1-2天恢复正常生活。
✅安全可靠:实时影像监控,精准消融病灶,避免损伤周围组织。

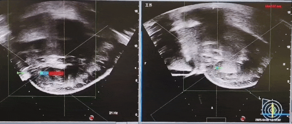
海扶治疗实时超声监控,乳腺肿瘤瞬间“变白”(组织受热变性)
这个“变白”的过程是治疗起效的标志,说明肿瘤已经被成功消融。
整个过程医生都能实时监控,确保治疗精准无误,同时避免伤害到周围的正常组织。
这种可视化的治疗方式,不仅让医生操作更安心,也让患者对治疗效果更有信心。
2、海扶刀®适合哪些人群?
⭕️乳腺纤维腺瘤患者
尤其是多发性、复发性结节,或者对乳房美观要求高的年轻女性。
⭕️非哺乳期乳腺炎患者
中医治疗无效、反复发作的病例。
⭕️畏惧手术者
担心疼痛、出血、感染或术后疤痕的人群。
⭕️良性肿瘤患者
BI-RADS 3类及以下,经病理确诊为良性,想微创解决的。
⚠️注意:不是所有结节都能做!要先找医生进行评估哦!
(注:文中案例经患者授权使用,数据来源《聚焦超声消融手术临床应用技术规范专家共识(2020年版)》及深圳市妇幼保健院临床统计。)
编辑 许家宜 审读 张蕾 二审 周梦璇 三审 万晖













