近几年,越来越多的科学研究发现,大肚子的宰相能撑多大的船不知道,但很可能脑子不太好。
之前的研究主要聚焦于血脂、血压、癌症等代谢或重疾领域,毕竟没有人会想到,肚子会和半个身子之外的脑子有什么关系。而现在,科学家们清晰地看到了区别。
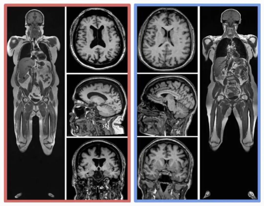
同样年龄的人,腹部脂肪(皮下和内脏)更多,脑部图像显示出更小的脑容量。
2023年8月,来自美国华盛顿大学等10个科研机构,纳入了10001名参与者,经过全身核磁、计算机深度学习、回归分析等一通复杂操作后,谨慎得出了结论:内脏脂肪越多,大脑(灰质、白质等)越小。


这一研究已发表于老年医学领域期刊《衰老与疾病》(Aging and Disease)。
大肚子对小脑子的影响,很难说不是脂肪细胞发起的“阴谋”。例如聚集了大量神经元的灰质,它掌控着我们的行为控制、奖赏机制、运动控制。一些特定区域的萎缩,很可能决定了我们的食欲和饱腹感。
当一个中年人摸着肚子,忍不住想点个烤串夜宵,或想偷懒不运动的瞬间,或许就是一场脂肪对脑灰质的微小胜利。
2023年4月,柳叶刀子刊发表了一项中年人研究,调查了8769位参与者后发现,内脏脂肪和BMI升高,两者均与认知能力下降之间存在因果关系。内脏脂肪每增加0.27kg,相当于认知衰老0.7年。
内脏脂肪更高的人,大脑区域(右侧楔前叶皮质)中的淀粉样蛋白更多。而后者,正是阿尔兹海默症的早期信号之一。
中年逐渐大起来的肚子,给30岁才刚成熟的聪明大脑来了个“变笨”魔咒。
如何减肚子,实现高质量中年人的逆天改命?
对于中国人来说,男性腰围<85厘米、女性腰围<80厘米为正常腰围标准,而男性腰围≥90cm,女性腰围≥85 cm,称为腹型肥胖(也叫中心性肥胖、向心性肥胖)。
这样做是有助于减掉“大肚子”的——
(综合来源:丁香医生 澎湃新闻 cctv生活圈)
编辑 周梦璇 审读 张蕾 二审 郑蔚珩 三审 万晖
读特热榜
IN视频
鹏友圈

@报业er,深圳报业集团“光影跃动·全员视界”系列视频大赛第二季来啦!无论是采访中“猝不及防”的温情小插曲、同事间双向奔赴的默契神助攻,还是深圳街头藏不住的烟火小美好,只要藏着暖意与感动,都能参赛秀出来! 即刻开拍,并在鹏友圈带话题晒你的独家创作,用光影传递身边的温柔与力量吧! 【话题标签】#暖心2025# 【参与时间】即日起至12月31日 【参与形式】个人赛/团队赛 【提交方式】在读特客户端鹏友圈带话题#暖心2025# 发布相关视频 【提交提示】在鹏友圈发布视频后,请同时将视频作品原片发送到指定邮箱:dutenews@163.com。请务必在鹏友圈文案/邮件标题中注明:【暖心2025】- [个人赛/团队赛] - [作品名称] - [作者/团队负责人姓名+部门]。 别犹豫啦,拿起手机/相机开拍,让你的镜头故事被更多人看见!

12月5日是国际志愿者日,我们邀请读特小记者们一起参与志愿服务。你可以用视频或图文记录自己的志愿故事,说说你参与的服务内容,分享那些让你印象深刻的温暖对话。带上话题 #读特小记者志愿时刻# ,晒出你的志愿瞬间! 【活动时间】 即日起-12月10日 【参与流程】 1.参与活动 参与附近志愿活动 2.分享感悟 活动后带话题 #读特小记者志愿时刻# ,图文/视频发布至读特鹏友圈。 3.分享方向建议 现场速写:你参与的志愿服务内容 暖心定格:最触动人心的瞬间或对话 成长印记:从服务中学到的新技能 同行故事:与伙伴协作的难忘片段 【荣誉激励】 优质内容创作者获志愿服务纪念礼。
02:05#读特小记者志愿时刻#从心动到行动:我的志愿之路 在成为志愿者之前,我对这个默默扎根社会角落、守护边缘群体的群体,始终知之甚少。 直到那个放学的午后,我背着书包走在街头,一抹红色身影出现在前方路口——她身着志愿马甲,眉眼带笑地为过往游客指引方向。我起初并未在意,依旧自顾自前行,可就在抬脚准备横穿马路时,一只温暖的手轻轻拦住了我。下意识抬头的瞬间,比红灯更耀眼的,是她身上的红色马甲,以及眼底漾开的温柔笑意:“小朋友,红灯亮啦,要注意安全哦。”我脸颊发烫,默默低下头,而这份突如其来的善意,却在心底悄悄种下一颗种子,让“成为志愿者”的念头愈发坚定。 后来,一次偶然的机会,我如愿成为一名志愿小记者。我穿梭在城市的大街小巷,用镜头和文字,定格下志愿者们热忱服务的身影,也捕捉着受助者脸上绽放的灿烂笑容。 其中最让我动容的,是走进“敬夕颐”养老院的那一天。大厅里坐满了老人,却没有一人显得孤单——志愿者们早已分落在各个角落,细致地照料着每一位长辈。他们有的为老人修剪头发,指尖满是轻柔;有的陪着老人们唱歌跳舞,欢声笑语填满整个大厅;还有的捧着生日蛋糕,为当月过寿的老人送上满满的祝福。“咔嚓”一声,相机记录下这温馨的瞬间,我忽然懂得:志愿者们把笑容赠予他人,这份温暖从不会消散,只会在人与人之间不断传递,久久萦绕。 一次次志愿活动的参与,让我对“志愿者”有了更深刻的认知。他们就像黑暗中点亮的微光,虽不炽热,却足以照亮每一位受助者的心房,为原本平淡甚至枯燥的生活,推开一扇缀满红色马甲的明亮之窗。 志愿者从不是一份职业,而是一群心甘情愿奉献时间与技能,用真心温暖他人、用行动回馈社会的普通人。
00:15#暖心2025#向云端~

马来西亚之旅。
- 友情链接: 深圳新闻网
- 粤ICP备10228864号
- 粤公网安备 44030402000917号
- Copyright @1997-2023 深圳特区报社










