演唱会太High!男子呼吸困难,胸部全是气!医生:这样狂欢会要命

2023-08-02 14:11
摘要

自发性纵隔气肿导致纵膈内压力上升,对心脏和大血管产生压迫,容易引发心衰,也可能引发严重的纵膈感染,这些都有可能危及生命。

纵使今年的演唱会很多,但网友们反映还是一票难求,而抢到票的友友们,到了现场更是按捺不住内心的激动,尖叫!喊麦!摇摆!尽情释放自我!

一场演唱会下来,很多人的后遗症最多就是:失落+失眠。

但19岁的阿岳(化名)在演唱会过后,由于过度的兴奋出现胸痛、呼吸困难,及时被送到抢救室治疗才捡回了一条命...... 这究竟怎么一回事呢?

狂欢后他“呼吸都痛”   感觉脖子皮肤下有气体在游动

7月份,对于深圳的阿岳来说充满期待,就在这几天他终于要去看一场梦寐以求的演唱会了。

到了演唱会现场,一句句“追了好几年的人就站在眼前唱给你听”“耳机里的歌声变成了现场”全都成真了。

阿岳激动不已,也许是因为对“爱豆”的用情过深,也许是因为对音乐的痴迷,也许是这来之不易的门票。他疯狂地尖叫,使尽全力地跟着唱,跟着节奏甩头、摇摆,尽情地释放自我!

一场演唱会high得像是一场狂欢会,但疯狂过后留给阿岳的不只是美好的回忆,还有喉咙痛和胸痛......

阿岳以为是暂时的不适,于是回家休息,但没想到回家躺着后不舒服的感觉没有减轻,深呼吸时疼痛明显,感觉右侧脖子有气体在游动,难以入睡。

阿岳的家人见状不对,赶紧把阿岳送来深圳市人民医院急诊科就诊。

胸部及周围器官全是气体  医生诊断后紧急送至抢救室

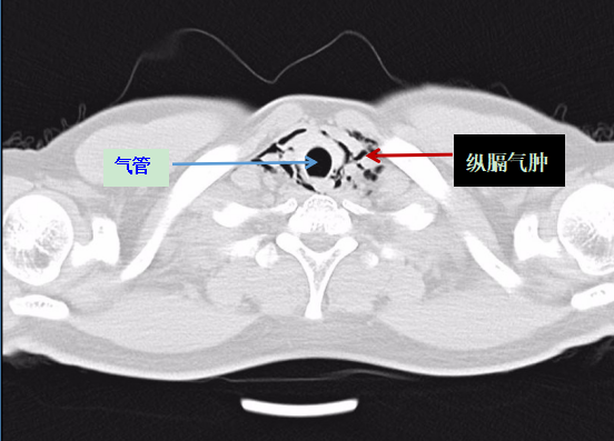
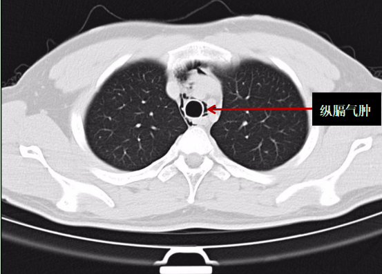
深圳市人民医院急诊科医生给阿岳做了诊察后,建议阿岳立马做一个胸部CT查看具体病情。当阿岳的胸部CT报告出来后,他立马被转到了抢救室进行治疗。

医生表示:根据胸部CT报告,阿岳被诊断为“自发性纵膈气肿”,即颈部软组织、纵隔气肿。所幸送医及时,不然后果不堪设想。

阿岳的胸部CT影像

纵膈气肿是什么?

首先,我们先来了解一下纵膈是什么?

纵膈是两侧胸膜间全部器官、机构与结缔组织的总称。范围:前界为胸骨,后界为脊柱胸段,两侧是纵隔胸膜,向上达胸廓上口,向下抵横隔。

左图为纵膈的左侧面观,右图为纵膈右侧面观   图源:《系统解剖学 第 9 版》

正常纵膈内存在多个潜在的间隙,纵膈内间隙相互延续连通。纵隔内正常情况下不应含有气体。当出现病理性的游离气体时,称为纵隔气肿。各种导致胸腔内压力升高的呼吸动作或操作都可能导致纵隔气肿。

阿岳被诊断的“自发性纵膈气肿”是临床上一种少见的急症,是指在没有外伤、病菌感染、邻近脏器损伤的情况下,空气异常进入纵隔胸膜内结缔组织间隙之间,导致患者出现胸痛、干咳、呼吸困难、颈部吞咽困难、皮下气肿等症状。

纵隔气肿分为四类:

  1. 自发性,发病突然且往往没有明显的原因,易发生漏诊、误诊;

  2. 外伤性,急性闭合性胸部外伤,异物刺破食管,各类医源性操作如胸部手术、内窥镜等;

  3. 继发性,肺癌、食管癌时癌肿破溃;

  4. 腹腔、腹膜后游离气体经膈肌食管裂孔侵入。

经专科医生会诊评估后,建议阿岳先通过卧床休息、吸氧等对症治疗,密切观察病情变化。如今,阿岳仍处于密切观察期。

看演唱会时人还好好的   怎么突然就倒下了呢?

深圳市人民医院胸外科医生解释道:阿岳看演唱会时处于亢奋的状态,尖叫、甩头等动作导致身体在几个小时的时间里都处于高强度负荷的状态下。

剧烈运动后,阿岳肺泡内压升高、肺泡破裂,肺泡内的空气剥离血管鞘到达肺门部而形成纵隔气肿。

值得警惕的是,自发性纵隔气肿导致纵膈内压力上升,对心脏和大血管产生压迫,容易引发心衰,也可能引发严重的纵膈感染,这些都有可能危及生命。

自发性纵膈气肿的原因是什么?

1、自发性纵隔气肿多发生于青年人,尤其是体型高瘦的青春期男性,诱因咳嗽、支气管哮喘、剧烈呕吐等。

2、身体高强度负荷是发病的一个主要诱因,如长时间户外活动、剧烈运动和游泳等都会导致发病。

自发性纵膈气肿的主要症状有哪些?

1、最常见的症状是胸痛,其次为呼吸困难、咳嗽、颈部疼痛和吞咽困难等,颈胸部出现皮下气肿是特征性表现之一;

2、当突然发生纵隔积气中量至大量并发有张力性气胸时会出现胸痛剧烈、呼吸困难、心悸、心率增快症状,合并感染时会表现寒战、高热、休克;严重纵隔气肿压迫胸内大血管,影响回心血量和循环障碍。

纵膈气肿需要进行哪些检查来诊断?

1.X 线胸片

胸部 X 线检查对明确纵隔气肿的诊断具有决定性的意义。虽然气肿在正位胸片以上纵隔和左侧纵隔边缘显示较为显著,但是侧位胸片显示比正位胸片更清楚,因此,如果行胸部 X 线检查时应有侧位胸片。

2.多层螺旋 CT(MSCT)

由于 MSCT 具有比 X 线更高的密度分辨率及不重叠的图像,对纵隔气肿的诊断更敏感。三维重建技术对纵隔气肿尤为敏感,有利于发现 X 线胸片不易发现的少量气体,早期诊断检出率可达 100%,因而 CT 检查被认为是诊断的金标准。

自发性纵膈气肿怎么治疗 ?

1、大多数纵隔气肿轻症者,经卧床休息、吸氧,预防性使用抗生素,一般半个月内会自行吸收;积极治疗原发病(如哮喘、胃食管反流病等);因外伤、张力性气胸所致者应施行闭式引流术,对断裂的气管、漏气的食管等进行外科修补缝合。

2、对纵隔积气较多,有压迫症状,经一般处理仍不好转者,可在局麻下于胸骨上切迹处做切开引流排气减压。有皮下气肿者同样可做上胸部皮肤切开,挤压排气。

医生特别提醒:曾患有纵膈气肿的患者康复后,应尽量减少与纵隔气肿发展相关的体育活动(如举重、潜水、演奏管乐器等),值得注意的是,纵隔气肿病史应该被认为是潜水的禁忌症。如果纵隔气肿反复发生,建议永久避免这些活动。

如何预防发生自发性纵膈气肿?

1、年轻人,尤其是处于青春期的体型高瘦的男孩,应劳逸结合,避免剧烈运动;

2、一旦在剧烈活动后出现不明原因的胸痛、呼吸困难等不适,应及时就医。

看到这里大家也不用慌,平常运动时稍加注意即可。但在为“爱豆”声援呐喊、狂欢时,要记得量力而行哦。最重要的是用心去感受。

来源  深圳市人民医院胸外科、急诊科、感染性疾病科

编辑 赵璐 二审 玄伟东 三审 吴向阳



免责声明
未经许可或明确书面授权,任何人不得复制、转载、摘编、修改、链接读特客户端内容
推荐阅读

读特热榜

IN视频

鹏友圈

首页