“这趟来深圳真是太值了!离家近,还解决了大问题!”来自惠州的张先生今年50岁,“马蹄肾”合并肾结石,半年多来备受折磨,幸运寻求到“空降”深圳大学总医院出诊的北京专家许清泉教授悉心诊治。即使面对特殊肾脏结构和复杂结石位置的双重挑战,依然通过“双镜联合”技术彻底清除了结石,让他终于告别多年痛苦。
许清泉教授从北京到深圳大学总医院出诊已成常态,9月的每周六上午8时至12时,市民可在深圳大学总医院找许清泉教授看诊。许清泉教授擅长各种复杂泌尿系统结石的诊断和治疗,特别是复杂泌尿系结石腔内碎石手术。

当“马蹄肾”撞上“顽固结石”
半年前,张先生左腰开始时不时剧烈疼痛。每次发作起来坐也不是、躺也不是,严重影响了生活和工作,去医院检查发现自己患了肾结石。不仅患有肾结石,张先生还被查出来有“限量版”马蹄肾畸形!这个消息打得张先生和家人一个措手不及。经过多方打听,他得知北京大学人民医院泌尿外科专家许清泉教授周末会“空降”深圳大学总医院出诊,二话不说,从惠州毫不犹豫地赶来深圳......
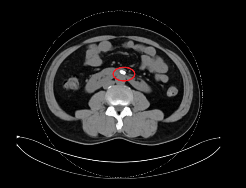
检查结果出来后,让医生有些头大,因为张先生的结石正好卡在左右肾连接的“咽喉要道”,这让手术难度直接升级!

张先生术前左右肾连接狭窄处结石

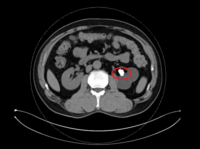
张先生术前左肾内结石
解剖特殊又怎样?技术才是硬道理
许清泉教授解释,普通人的肾脏是“分居户”,而马蹄肾的朋友则是“连体婴”——两个肾的下极通过组织连在一起,像个马蹄铁,还常常位置偏下、靠近中间,血管也长得“随心所欲”。
马蹄肾作为一种先天性肾脏畸形,特殊的解剖结构注定了肾结石手术比普通肾结石手术难度更高,其解剖结构特殊,手术通道建立难,结石位置刁钻,让结石手术难度飙升,非常考验手术医生手术视野把控和操作精准度。正因为存在解剖与操作上的双重挑战,马蹄肾结石手术对主刀医生的经验、技术及应变能力要求极高。
北京名医“双镜”出手,结石清空
很幸运的是,许清泉教授十分擅长复杂泌尿系统结石的诊断与治疗,尤其在复杂泌尿系结石的腔内碎石手术方面经验丰富,这让张先生和家人十分放心。他为张先生定制了“左侧经皮肾镜取石”方案。手术中,他精准定位,运用“双镜联合”技术,一口气把结石清得干干净净!
术后,张先生恢复很快,3天后康复出院。
“南方地区是肾结石高发地,天气湿热出汗多,深圳人长时间坐办公室,爱吃海鲜、爱喝老火汤等,容易得肾结石。”许清泉教授表示,他建议市民发现肾结石及时求医,现在肾结石的治疗手段和设备都非常先进,微创手术清除结石很快也很安全。

张先生术后复查X片,结石已完全清除干净
编辑 冯思颖 审读 吴剑林 二审 党毅浩 三审 叶志卫














